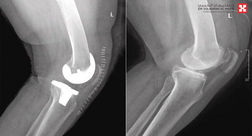
استعادت سيدة «ستينية» قدرتها على المشي، وتخلصت من الكرسي المتحرك، بعد ساعات من عملية نوعية لاستبدال مفصل ركبة، خضعت لها في مستشفى الدكتور سليمان الحبيب بالسويدي، بتقنية تخفف الآلام وتسرع التشافي، أنهت معاناتها مع الخشونة والاحتكاك الحاد وتلف غضاريف المفاصل، وغيرها من التبعات الحادة. وقال د. رغيد شبو استشاري جراحة العظام والإصابات واستبدال المفاصل، رئيس الفريق الطبي المعالج، أن المريضة حضرت إلى المستشفى وهي على كرسي متحرك تشكو من عدة أعراض، كالآلام المتزايدة والتورم وتغير شكل مفصل الركبة، بالإضافة إلى عدم الثبات عند محاولة تحمل الوزن، ورجح الفحص السريري المبدئي وجود احتكاك حاد في المفصل، وهذا ما أكدته الفحوصات التي أجريت لها حيث بينت وجود تآكل في عظمتى المفصل، وارتخاء شديد في أربطة الركبة الجانبية، وخلل في حركة عظمة رأس الركبة. وقاد قرر الفريق الطبي إجراء عملية لاستبدال المفصل، بآخر صناعي يتوافق مع معطيات التشخيص الطبي للحالة، وتم فيها استبدال مفصل الركبة بآخر صناعي خاص بمثل هذه الحالات، وتكللت العملية التي استمرت لنحو 120» دقيقة، ولله الحمد بالنجاح التام، وتمكنت المريضة من المشي على قدميها بعد ساعات من العملية.
وأوضح د. شبو أن التقنية التي استخدمت في العملية تحافظ على سلامة الكثير من الأنسجة، مما يجنب المرضى الصعوبات المتمثلة في الآلام الحادة بعد التدخل الجراحي، وأيضاً طول مدتي التنويم والعلاج الطبيعي والتأهيل.